炭水化物に還元性を持たせる水熱処理とは何だ?の記事でデンプン等の炭水化物に還元性を与える熱水処理について触れた。
アミロース(デンプン)等のグルコース(ブドウ糖)が直鎖状に繋がった炭水化物に圧力をかけた状態で加熱すると直鎖が断片化し還元性を持つようになる。
この内容を踏まえた上で、改めてビール酵母由来の肥料についての可能性を感じたので、今回はその内容に触れていくことにする。

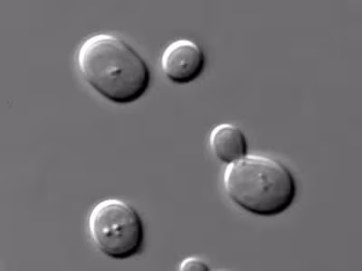
上の写真はSaccharomyces cerevisiae(サカロウマイシーズ・セレヴィシエ)という酵母になり、おそらくだけれども今回話題に挙げるビール酵母ではないという事を踏まえて、あくまで酵母のイメージとして話を進める。
酵母の細胞膜の更に外側の細胞壁にβ-グルカンというブドウ糖が直鎖状で時々分枝した繊維となっている。
β-グルカンを肥効とする肥料はβ-グルカンを丁寧に抽出してパッケージ化するのはコストがかかりすぎるはずで、酵母そのものを水熱処理をして細胞壁や細胞膜を断片化しつつβ-グルカンも断片化するというのが製造の流れになるだろう。
であれば、細胞内に含まれていた各種栄養素も同時に抽出されることになるわけで、肥料内には核酸の集合体であるDNAやRNA、酵素を活性化させるために用いた各種微量要素も含まれている可能性が高い事になる。
上記の内容のうち、核酸と微量要素の亜鉛の話題をピックアップしてみると、イノシン酸が発根を促進するならばと乳酸菌は植物の発根を促進するか?の記事で植物の発根促進に関与している可能性が高い要素となる。
今回までの話をまとめると、ビール酵母を水熱処理して製造した肥料には二価鉄の肥効 + 還元剤 + 発根剤としての肥効があるというところまで見えてきた。
関連記事




